WEBから予約 093-475-2388

Implantインプラント

インプラント

インプラントとは

インプラント治療

インプラントとは、歯を何かの理由(虫歯、歯周病、ケガ)で失くした場合に、失くした場所の骨に人工の歯根を埋めこみ、まわりの残った歯や歯茎に負担をかけずに、ご自分の歯で噛んでいる時と同じように感じる事ができる治療法です。

骨の中に埋め込む、根の部分を人工歯根と呼び、材質はチタンという金属で、骨との相性がよく数ヶ月で骨とくっつきます。

誰でもできるの?

インプラント治療

人工歯根を骨に埋め込むため、骨の骨量が重要になってきます。

もし、骨が少ないとインプラントができないことがあります。

ですが、今現在骨をつくる手術もできてインプラントの可能性は広がっています。

骨量など手術をするにあたって、必要な現在のお口の中の状態をCTなどで確認して、手術を行います。

ブリッジのメリット

インプラント治療

歯を失くした状態で、そのままにしておくと咬み合わせがなくなるので、失くした歯の反対(上なら下、下なら上)の歯が延出してしまいます。

そして、両隣りの歯が倒れこむなど問題がおこります。

また、歯を支えている骨(歯槽骨)がやせていきます。 そこに、ブリッジ(歯のない所の両隣を削って固定のかぶせを入れるもの)をいれることで咬むことができます。

その他の問題もある程度解決することができます。

インプラントのメリット

インプラント治療

インプラントは失くした歯の部分単独で治療ができるので、他の歯に負担をかけることなく本来の咬む力をとり戻し、快適な状態を保てます。

今まで咬めなかった固いものでも、粘着性のあるものでも問題なく食事をすることができます。

インプラントとの付き合い方

大切になってくるのが、お家でのお手入れと病院でのメンテナンスです。

インプラントは虫歯にはなりませんが、自然な歯と同じようなインプラント周囲炎になります。

インプラント周囲炎は骨の病気なので、お手入れが悪いとインプラントを埋めた骨の部分がこわれて、せっかく埋めたインプラントをダメにしてしまいます。

お家でのお手入れをしっかりすることで、お口の中を清潔な状態にいつも保つように心がけていただく必要があります。

毎日のホームケアと病院でのメンテナンスにより、長くインプラントと付き合っていくことができます。

治療例と費用について

インプラント治療例

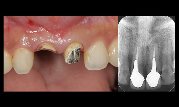
症例1

術前
前歯が根の途中から折れてしまいました。
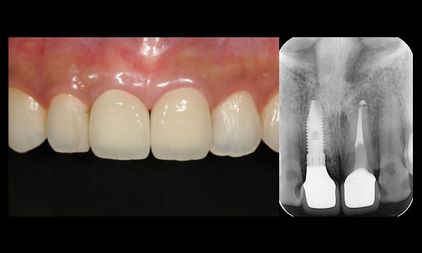
術後
インプラントを使って、審美、機能回復しました。
主訴 準備中
治療期間 準備中
治療費 準備中
治療内容 準備中
治療のリスク 準備中

症例2

術前
「食事を美味しくしたい。」ということで来院されました。お口の中はほとんど前歯の噛み合わせしかありません。義歯は作ったけれど合わずに全く使ってないそうです。
術後
インプラントでしっかりとした奥歯を作ることで、なんでも美味しく食べることができるようになりました。
主訴 準備中
治療期間 準備中
治療費 準備中
治療内容 準備中
治療のリスク 準備中

症例3

術前
上下の前歯と奥歯がすれ違っていて最も機能回復が難しいケースです。
術後
インプラントを用いて、しっかりとした噛み合わせを作りしました。
主訴 準備中
治療期間 準備中
治療費 準備中
治療内容 準備中
治療のリスク 準備中

症例4

術前
準備中
術後
準備中
主訴 準備中
治療期間 準備中
治療費 準備中
治療内容 準備中
治療のリスク 準備中

料金について

インプラントは自費診療ですので、健康保険が適用されません。 自費診療を受けられる方はこちらのページもご覧ください。

自由診療を受けられる方へ

小倉南区の歯医者 古川歯科クリニック

〒800-0208
福岡県北九州市小倉南区沼本町2-1-28

診療時間 午前 午後
火〜金曜日 9:00-13:00 14:00-18:00
土曜日 9:00-13:00 14:00-17:00
休診日 月・日・祝日・
夏季(盆休)・年末年始
祝日がある週は月曜日診療いたします。
診療受付時間:
・午前診療12:30まで
・午後診療17:30(土曜日は16:30)まで